Кашель у кошек часто связан с воспалением дыхательных путей (эозинофильным или нейтрофильным), инфекциями и инвазиями, уплотнениями легочной ткани. Данные факторы приводят к чрезмерному образованию слизи, гиперплазии эпителия и сокращению гладких мышц дыхательных путей при астматической форме. Со временем воспаление изменяет дыхательные пути, приводя к сужению просвета бронхов, и возникает кашель.
Что же делать, если Вы заметили у своей кошки кашель?
В первую очередь записаться на прием к врачу для:
- анализа сложившейся ситуации,
- получения индивидуального плана диагностики животного,
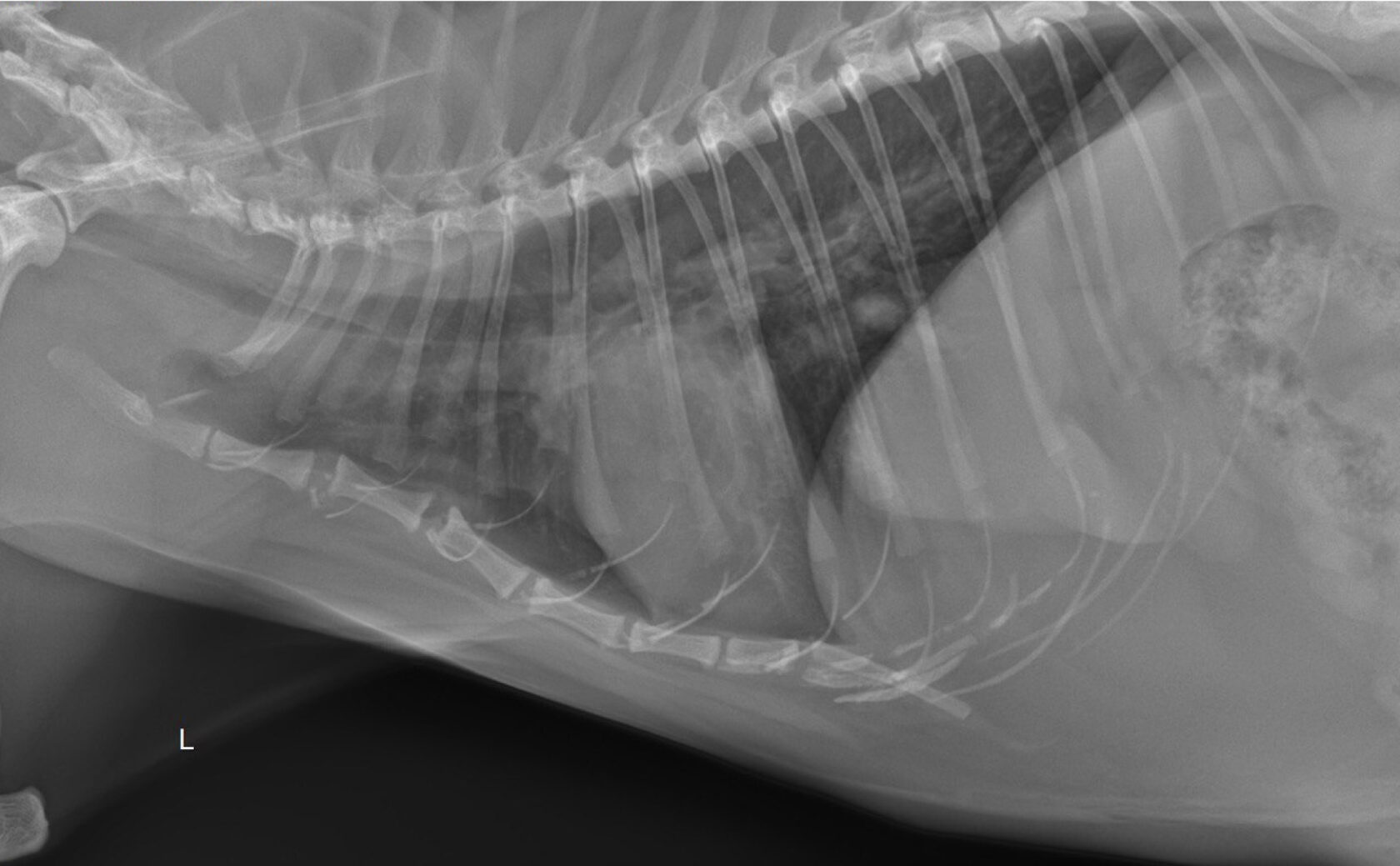
- направления на проведение рентгенографии с заключением рентгенолога (необходимо сделать 3 проекции, рентген в одной проекции не информативен).
Для облегчения кашля при отличном общем самочувствии животного рекомендуется:
- завести дневник здоровья и начать фиксировать частоту и продолжительность кашля, оценивая изменения как положительные, так и отрицательные;
- уменьшать возможную гиперчувствительность к компонентам окружающей среды (смена и гигиена наполнителя, уменьшение количества бытовой химии, освежителей, аэрозолей, использование увлажнителей воздуха, исключение табачного дыма и электронных сигарет);
- допустимо провести обработку от экто- и эндопаразитов при отсутствии противопоказаний.
Записаться на консультацию можно по ссылке.
